Nouveautés dans la prise en charge de la Rhizarthrose (arthrose de la base du pouce)
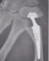
Mise en place d'une prothèse trapézo-métacarpienne : exemple de la prothèse MAÏA® ou de la prothèseTOUCH®
Dr Didier FONTÈS (Pdt Honoraire de l'European Wrist Arthroscopy Society)