Traitement arthroscopique des kystes du poignet

Les kystes dit synoviaux du poignet sont des formations mucoïdes bénignes mais souvent inesthétiques (figure 1) et parfois douloureuses. Le traitement chirurgical classique à ciel ouvert de ces "ganglions" comme les nomment les anglo-saxons, est souvent décevant car grèvé d'un taux important de récidives (10-25%) et parfois aussi d'autres complications comme des névromes, des infections ou encore un enraidissement du poignet. C'est pour cela qu'un geste chirurgical ne doit être proposé qu'après avoir tenté un traitement médical (ponction +/- infiltration) et après en avoir présenté les avantages et surtout les risques au patient.

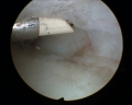
Les progrès techniques de la chirurgie mini-invasive du poignet ont permis de réaliser l'ablation de ces kystes sous arthroscopie, c'est-à-dire au moyen de deux mini incisions permettant, l'une d'introduire une caméra de 1,9 à 2,7 mm de diamètre et l'autre des instruments mécaniques et de radiofréquence de 2-3 mm de diamètre (figure 2). La base d'implantation du kyste est repérée (une IRM ou une échographie préalable ont guidé le choix des petits incisions-figure 3) et retirée. Le liquide mucoïde s'écoule alors dans l'articulation et est aspiré alors que la paroi du kyste est excisée par la profondeur sans nécessité d'incision supplémentaire (figure 4). On visualise ainsi les tendons extenseurs des doigts et du poignet qui doivent être contrôlés et protégés durant toute l'intervention (figure 5), constituant le seul risque spécifique de cette arthroscopie. l'intérêt de cette technique n'est pas qu'esthétique, bien que l'indication du geste opératoire soit essentiellement cosmétique (figure 6) mais surtout plus logique et efficace que la chirurgie dite classique, car il permet le repérage et l'excision du point de départ de cette "tumeur" bénigne, diminuant ainsi le risque théorique de récidive. On peut ainsi diagnostiquer et retirer des petits kystes du ligament scapho-lunaire (figure 7), il y a encore peu surnommés "occult ganglions" car peu accessibles aux autres procédés d'exploration du poignet, ils peuvent être douloureux notamment lors des appuis en flexion dorsale.

Institut Main Epaule et Sport, Paris

Dr Didier FONTÈS (Pdt Honoraire de l'European Wrist Arthroscopy Society)